top of page

Зорічева Анастасія Сергіївна
лікар стоматолог-ортодонт

Лікар стоматолог-ортодонт.
Член Асоціації Ортодонтів України.
Займається діагностикою та лікуванням зубощелепних аномалій у дітей та дорослих.
Працює з усіма видами брекет-систем та ортодонтичними апаратами (пластинками). Використовує методи міогімнастики. Дотримується індивідуального підходу та орієнтується на досягненні стабільного результату для кожного пацієнта.
Досвід роботи з 2017 р.



1/1
Сертифікати


















1/1




1/1
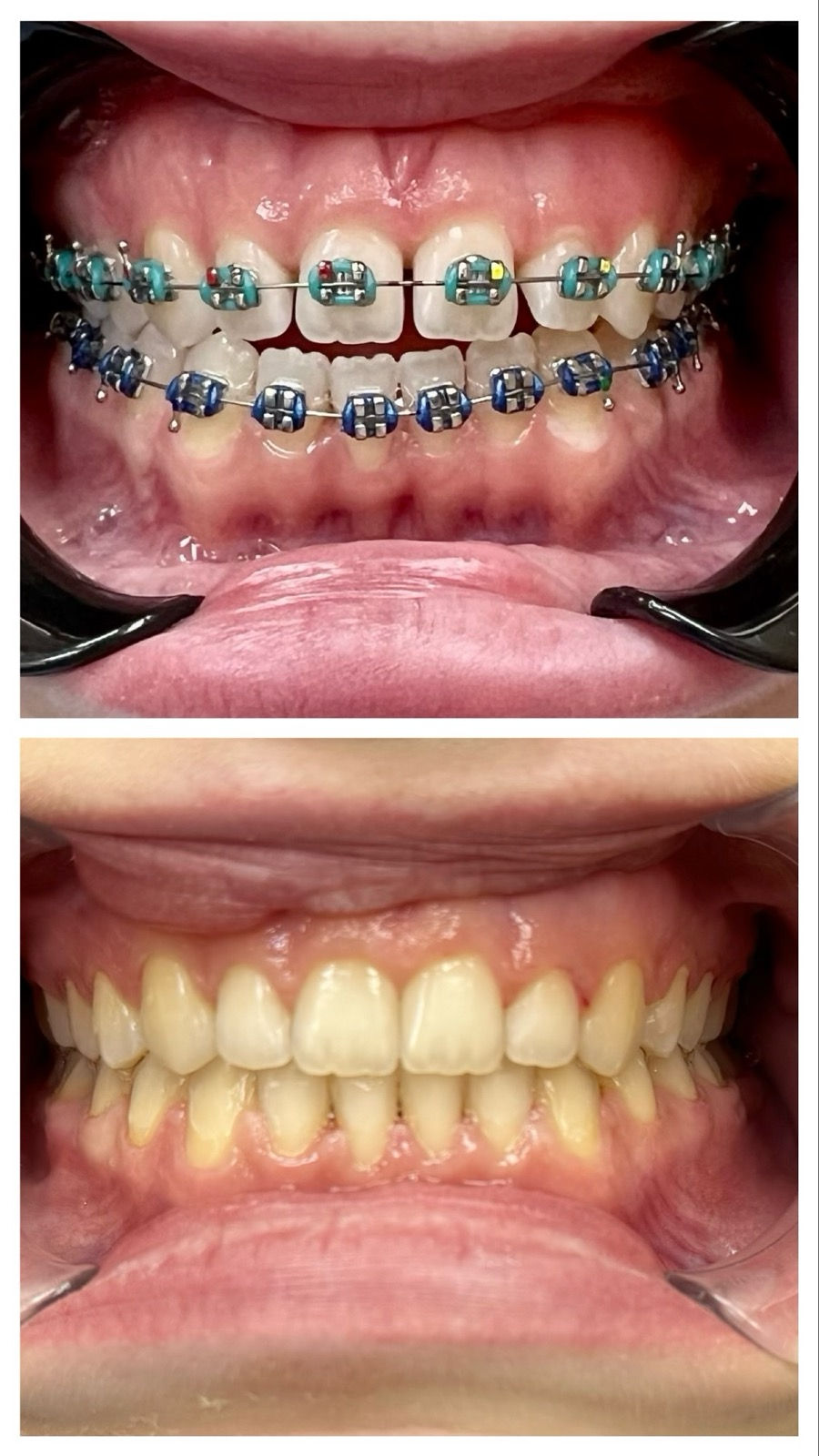
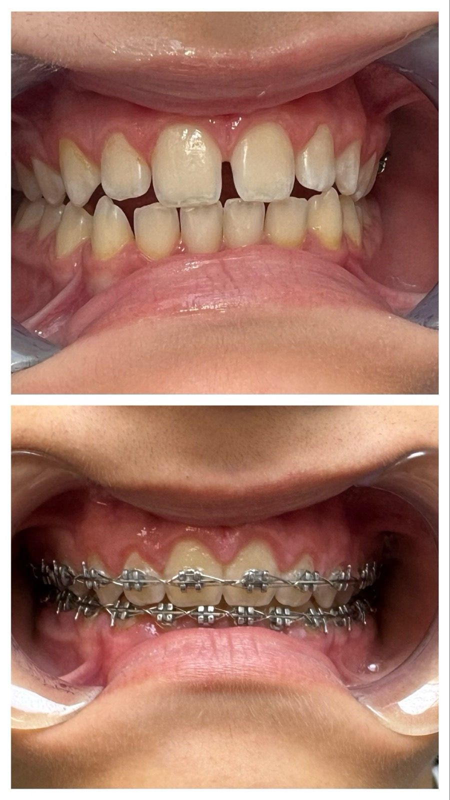
Галерея робіт






























bottom of page


