
Махтій Тетяна Олександрівна
стоматолог-пародонтолог

Тетяна Олександрівна працює в клініці з 2015 року та має значний досвід у сфері сучасної пародонтології. Спеціалізується на нехірургічному та хірургічному лікуванні, профілактиці захворювань ясен, володіє сучасними методиками реабілітації та відновлення тканин пародонту. Займається закриттям рецесій ясен різними методами незалежно від ступеня їх складності.
Лікар активно ділиться знаннями з колегами, має власний авторський курс «Просто Про Періо» для стоматологів, є лектором всеукраїнських конференцій та міжнародних конгресів. Постійно підвищує кваліфікацію, бере участь у майстер-класах і навчальних програмах в Україні та за кордоном.
Тетяна Олександрівна — член правління Української Академії Пародонтології, голова Дніпровського осередку УАП, елект-президент УАП. Також є членом іспанської спілки пародонтологів SEPA.
Крім клінічної практики, розвиває власний бренд PeriODnipro, що об’єднує освітні та професійні проєкти у сфері пародонтології.
Досвід роботи за спеціальністю — понад 9 років.


Сертифікати











Конференції




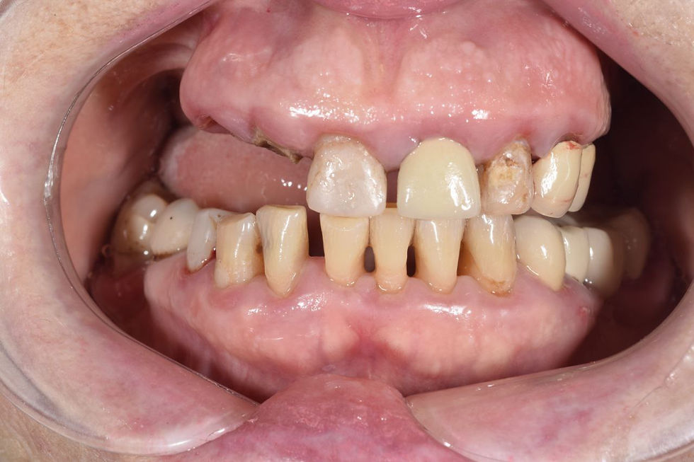
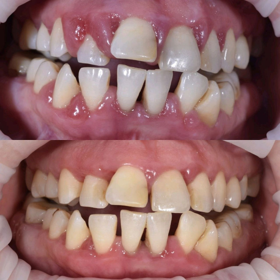
Галерея робіт


































































